GX-BP2(STAT3-bioPROTAC)
Disease Indication
Atopic Dermatitis, Cancer
Development Stage
- 1Confirmation of superior in vitro STAT3 degradation effect compared to small-molecule PROTACs.
- 2Confirmation of enhanced effects compared to dupilumab in a multiple cytokine-induced atopic dermatitis model (in vitro): 1) Restoration of skin barrier proteins and 2) Inhibition of pro-inflammatory cytokine secretion.
- 2Demonstration of superior in vivo efficacy compared to dupilumab in an Atopic Dermatitis (AD) model.
Summary
- 1As a bioPROTAC agent that selectively degrades the STAT3 protein—an established therapeutic target in Atopic Dermatitis and Cancer—it holds significant therapeutic potential in STAT3-driven diseases, including inflammatory skin diseases and various cancers.
- 2Possesses a high safety profile: Lowered off-target risk due to superior STAT3 protein selectivity, and reduced potential for side effects through local delivery to dermal cells of the skin.
- 2Personalized combination therapies are necessary for Atopic Dermatitis patients, considering factors such as age, disease severity, and triggering factors. Atopic Dermatitis therapeutics based on a novel mechanism of action (MOA) for cases refractory to dupilumab.
Structure
This is a next-generation Targeted Protein Degrader (TPD) constructed as a direct fusion protein, comprising a nanobody that specifically binds to the STAT3 protein and an engineered E3 protein. It possesses innovative differentiators compared to first-generation TPDs, such as small-molecule-based PROTACs. This is a next-generation Targeted Protein Degrader (TPD) constructed as a direct fusion protein, comprising a nanobody that specifically binds to the STAT3 protein and an engineered E3 protein. It possesses innovative differentiators compared to first-generation TPDs, such as small-molecule-based PROTACs.

Mechanism
- 1GX-BP2 restores skin barrier function by selectively degrading the STAT3 protein, which is activated by IL-4/IL-13 in the JAK-STAT pathway.
- 2Targeting a promising therapeutic target in cancer treatment by degrading STAT3.
- 2Delivery of mRNA-encoded GX-BP2 to the dermal layer of the skin via LNPs through subcutaneous injection (SC injection).
크게보기
Characteristics
Enhanced degradation efficacy and high selectivity compared to small-molecule PROTACs.
Superior STAT3 degradation efficacy compared to 'KT-333' (a small-molecule VHL-recruiting PROTAC currently in Phase 1 clinical trials by Company K***).**
크게보기
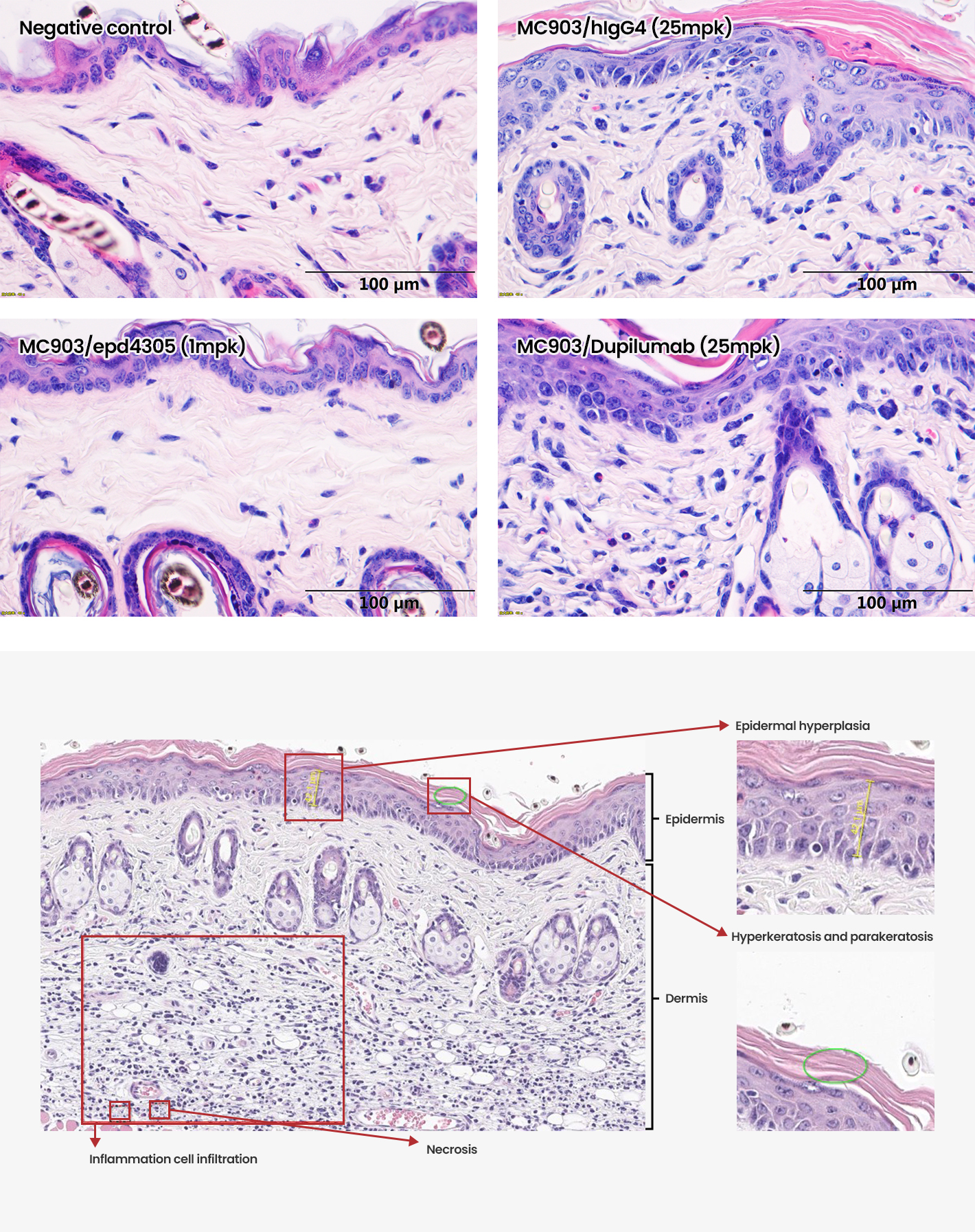
Superior in vivo efficacy compared to dupilumab.
- 1Administration of epd4305 at 1 mg/kg via subcutaneous (s.c.) injection, twice weekly (BIW) for a total of five doses, resulted in the observed alleviation of atopic dermatitis features.
- 2H&E staining (40X image)
크게보기